Endoprothetik / Gelenkersatz

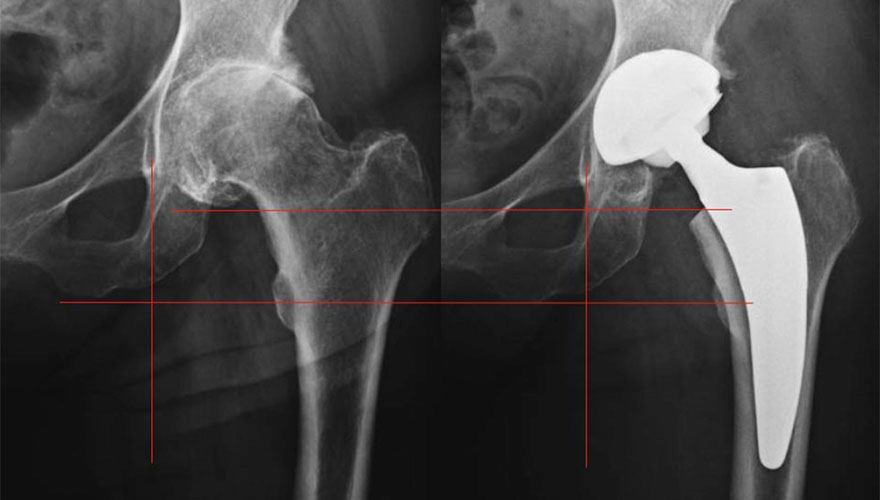
Ein zunehmender Gelenkverschleiß mit dem damit verbundenen Knorpelverlust (Arthrose) führt zu einer langsamen Einsteifung des betroffenen Gelenkes. Gleichzeitig treten typische Belastungs- und Anlaufbeschwerden auf, später auch Ruhe- und Nachtschmerz.

Für den betroffenen Patienten bedeutet dies eine Einschränkung der Mobilität und zunehmend schlechtere Lebensqualität. Sind alle gelenkerhaltenden konservativen und operativen Maßnahmen (Physiotherapie, Injektionen, Schmerzmedikamente, arthroskopische Gelenkspülung, usw.) ausgereizt, muss über das Einsetzen einer Totalendoprothese (TEP), einem Kunstgelenk, gesprochen werden. Am häufigsten werden Hüft- und Kniegelenke operativ ersetzt, immer öfter wird jedoch auch am Schultergelenk ein Teil- oder Komplettersatz durchgeführt. Auch kleinere Gelenke wie Ellenbogen- und arthrotisch zerstörte Fingergelenke (Handchirurgie) können mit Endoprothesen versorgt werden.

Schwerpunkte


Kooperationspartner

Bayerischer Skiverband Allgäuer Skiverband Olympiastützpunkt Bayern Orthopädikum Allgäu